Periodoncia

“En esta especialidad manejamos las enfermedades de las encías y el hueso que rodean los dientes”.

¿Qué es la enfermedad
de las encías?

La enfermedad de las encías es una inflamación de las mismas que puede avanzar hasta afectar el hueso que rodea y sostiene los dientes. Es causada por las bacterias, al formarse constantemente sobre los dientes una película transparente y pegajosa. Si no la elimina diariamente con el cepillado y el uso del hilo dental, la placa se acumula y las bacterias pueden infectar no sólo la encía superficial y los dientes, sino también el tejido gingival y el hueso que sostiene los dientes. Esta puede ser una causa para que los dientes se aflojen, se caigan o que finalmente el dentista los tenga que extraer. 

Hay tres etapas de la enfermedad de las encías:

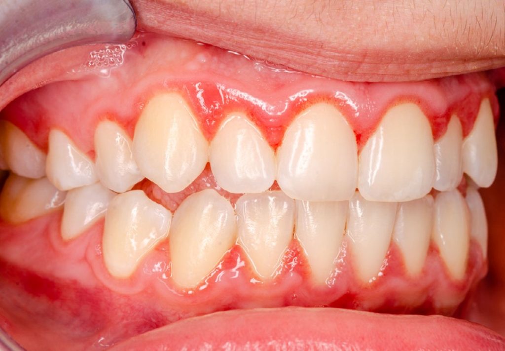
Gingivitis

gingivitis

Esta primera etapa de la enfermedad es una inflamación de las encías provocada por la acumulación de placa en el borde de la misma, la cual, al no ser eliminada por el cepillado y el uso diario del hilo dental, produce toxinas que irritan el tejido gingival, causando gingivitis. Puede observarse sangrado durante el cepillado, al usar el hilo dental o incluso de manera espontánea. En esta primera etapa de la enfermedad, el daño puede revertirse, ya que el hueso y el tejido conectivo que sostiene los dientes en su lugar todavía no han sido afectados.

La periodontitis

Peridoncia

En esta etapa, el hueso y las fibras que sostienen los dientes en su lugar sufren daños irreversibles. Se forma una bolsa debajo del borde de las encías, donde quedan atrapados los alimentos y la placa. El tratamiento dental adecuado y una atención en el hogar más cuidadosa, generalmente, ayudan a prevenir daños mayores.

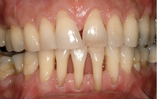
Periodontitis avanzada

Peridoncia avanzada

En esta etapa final de la enfermedad, se destruyen las fibras y el hueso que sostiene los dientes, lo que hace que los dientes se desplacen o se aflojen. La mordida puede verse afectada y, si no se realiza un tratamiento adecuado, puede suceder que el dentista tenga que extraer los dientes.

¿Cómo sé si tengo la enfermedad de las encías?

La misma puede ocurrir a cualquier edad, pero es más común en los adultos. Si se la detecta en sus primeras etapas, puede revertirse. Consulte al dentista si observa alguno de los siguientes síntomas:

• Las encías están enrojecidas, inflamadas o sensibles
• Hay sangrado de encías al cepillarse o al utilizar el hilo dental
• Los dientes parecen ser más largos porque las encías se han retraído y se ven las raíces
• Se sienten cambios en el modo en que cierran los dientes al morder
• Puede haber salida de pus entre los dientes y las encías
• Se percibe constantemente la presencia de mal aliento o mal sabor en la boca

¿Cómo se trata la enfermedad de las encías?

• Las primeras etapas de la enfermedad, por lo general, pueden revertirse con el cepillado correcto y el uso apropiado del hilo dental. Una buena salud bucal ayudará a evitar la formación de placa.
• Una limpieza profesional llevada a cabo por el dentista o el higienista es el único modo de eliminar la acumulación de placa que se ha endurecido y convertido en sarro. Su dentista o higienista limpiará sus dientes para eliminar el sarro por encima y por debajo del borde de la encía. Si su afección es más grave, quizá lleve a cabo un procedimiento de alisado de las raíces. El alisado radicular ayuda a eliminar las irregularidades de las raíces dentales, dificultando el depósito de la placa.

Mediante la programación de revisiones periódicas, la enfermedad de las encías en sus primeras etapas puede tratarse antes de que se transforme en un trastorno más serio. Si la enfermedad está en un estado más avanzado, necesitará de un tratamiento a realizar en el consultorio.

Abrir un chat
Hola, ¿En qué te puedo ayudar?