Diseño de sonrisas

¿Qué es el Diseño de Sonrisa?

El diseño de sonrisa, es un enfoque revolucionario en odontología estética que implica un proceso personalizado para mejorar la apariencia de la sonrisa y, en muchos casos, también la función dental.

Los profesionales emplean una combinación de arte y ciencia para transformar sonrisas y elevar la confianza de sus pacientes.

Desde la corrección de pequeñas imperfecciones hasta la restauración completa de la sonrisa, se adapta a las necesidades y deseos individuales de cada paciente.

¿Qué problemas resuelve el diseño de sonrisa?

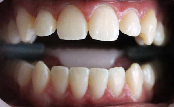
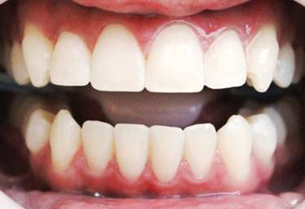
Es una solución efectiva para abordar diferentes problemas dentales, incluyendo:

1. Dientes descoloridos o manchados:Para eliminar manchas y blanquear los dientes, devolviendo una sonrisa radiante.

2. Dientes mal alineados o espaciados:Mediante tratamientos ortodónticos o carillas dentales, se pueden corregir problemas de alineación dental y espacios entre los dientes.

3. Dientes desgastados o fracturados:Restaurando la integridad y estética dental con carillas o coronas.

4. Sonrisa gingival:Cuando se muestra demasiada encía al sonreír, puede corregir esta situación para una sonrisa más estética.

5. Forma y tamaño dental desigual:Puede mejorar la armonía de los dientes, dándoles una apariencia más uniforme

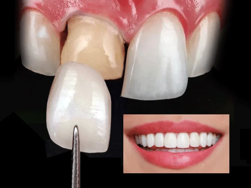
¿QUÉ SON LAS CARILLAS DENTALES “NON PREP” O SIN PREPARACIÓN O DESGASTE?

El diseño de sonrisa, es un enfoque revolucionario en odontología estética que implica un proceso personalizado para mejorar la apariencia de la sonrisa y, en muchos casos, también la función dental.

Los profesionales emplean una combinación de arte y ciencia para transformar sonrisas y elevar la confianza de sus pacientes.

Desde la corrección de pequeñas imperfecciones hasta la restauración completa de la sonrisa, se adapta a las necesidades y deseos individuales de cada paciente.

¿EN QUÉ CASOS SE PUEDEN COLOCAR?

Los casos ideales para realizar este tipo de carillas son pacientes que presenten:

  • Dientes cortos.
  • Dientes alineados. Sin rotaciones. En ocasiones se puede optar por realizar tratamiento previo de ortodoncia.
  • Dientes ligeramente inclinados hacia adentro.
  • Pequeños espacios entre dientes.
  • Dientes sin grandes desgastes (que conserven la mayor cantidad de esmalte ) y con sustrato aceptable (color). A veces optamos por hacer previamente un blanqueamiento.

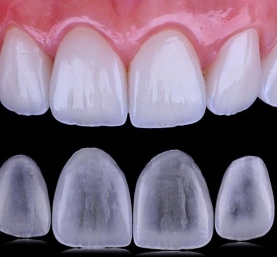
CARACTERÍSTICAS DE LAS CARILLAS DENTALES SIN PREPARACIÓN

  • Las láminas de cerámica que se usan son ultrafinas.
  • Se adhieren al esmalte y presentan un grosor similar al de una lente de contacto con espesores que generalemente van desde 0,2- 0.3 milímetros.
  • Se pueden elaborar con cerámicas diferentes: cerámicas feldespáticas y de disilicato de litio.
  • La estética de este tipo de carillas es perfecta, ya que al ser tan finas se mimetizan muy bien con el diente además ofrecen mucha durabilidad debido a la gran calidad del material del que están confeccionadas.